Кожная патология часто встречается, нередко белые пятна на коже могут появиться у детей и у взрослых. Причины появления таких высыпаний точно не обнаружены. Поэтому доктора настаивают на тщательном обследовании при появлении такого патологического процесса. Лечение белых пятен проводится только теми препаратами и методами, которые назначил лечащий врач.

Белые отметины на коже, как правило, являются следствием сбоя синтеза меланина.
Причины появления белых пятен на коже
Болезнь витилиго
Витилиго называется серьезный патологический процесс, во время которого происходит нарушение пигментации кожи человека. Симптоматикой этого заболевания выступают белые пятна на кожных покровах с ровной и четкой границей. Если витилиго не лечить, то пятнышки становятся больше и сливаются между собой, а волосы теряют свой настоящий цвет. При витилиго отмечаются белые пятна на коже рук и ног (на сгибах конечностей), на лице и на шее. Причина появления пятна белого цвета кроется в разрушении меланоцитов. Врачи допускают, возникновение витилиго обуславливается наследственной предрасположенностью и нарушением в работе иммунной системы. Вследствие этого сбивается формирование меланоцитов, которые вызывают появление такого патологического процесса.
Также на развитие витилиго оказывают влияние инфекционные процессы в человеческом организме, сбой в работе эндокринной системы и регулярные стрессовые ситуации. Течение патологии чередуется периодами, во время которых новые пятна не образовываются с периодами, когда появление белых пятен активируется. До сих пор нет способов, с помощью которых возможно полностью избавиться от этого недуга. Терапия витилиго состоит из улучшения внешнего вида кожи и предотвращения дальнейшего появления белых пятен. Это достигается:
- при использовании маскирующих косметических средств;
- с применением кортикостероидов и при светотерапии (для стимулирования повторной пигментации);
- при уменьшении пигментации нетронутой зоны;
- посредством пересадки кожи.
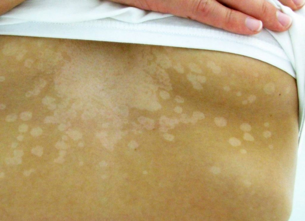
Отрубевидный лишай
Отрубевидный лишай — инфекционное заболевание грибкового характера, которое воздействует на эпидермис человека, образуя круглые точки. По данным исследований, именно грибок является основной причиной, при которой светлеют участки кожи. Среди характерных клинических признаков лишая выделяют:
- Для ранней стадии заболевания характерно появление белых пятен в области спины. При этом область депигментации кожного покрова безболезненна. Со временем мелкие пятна разрастаются и распространяются на область шеи, груди, подмышечных впадин и плеч.
- Края пятен имеют резкий контур и четкие границы со здоровой кожей.
- Параллельно с образованием светлых пятен происходит воспалительный процесс в регионарных лимфатических узлах, которые расположены вблизи к очагу заболевания.
- При низких температурах депигментированные участки кожи могут окрашиваться в коричневатые оттенки, однако, под воздействием ультрафиолета они обесцвечиваются.
- На белых пятнах образовываются чешуйки, которые безболезненны и не сопровождаются воспалительными процессами в коже.
Если у человека выявлен отрубевидный лишай, то в терапевтические методы обязательно включают противогрибковые препараты. Для начального этапа болезни прибегают к противогрибковым мазям местного действия, при запущенной стадии назначаются антимикотические препараты местной и системной направленности.

Появление белых пятнышек на теле может возникать улюдей с венерическими заболеваниями.
Лейкодерма
Лейкодерма — патология, которая развивается вследствие заражения сифилисом. Терапия строится на приеме медицинских препаратов по специальному графику. Белые пятна на кожном покрове появляются из-за приема лекарственных препаратов. Чаще всего пятнышко локализуется в области подмышек, на спине и на руках. Для области депигментации не характерны дискомфортные или болевые симптомы (зуд, жжение и прочие). Лейкодерма проходит сама после излечения венерического заболевания.
Болезнь невус
Невус — образование пятен, которые часто относят к бородавкам. Стоит знать, что такие кожные образования несут в себе опасность из-за вероятности перерождения в онкологическое заболевание. Невусы не всегда имеют коричневые или бежевые оттенки, достаточно часто встречаются бесцветные плоские или выпуклые пятна. Такие образования, в отличие от других патологий кожи, отличаются своим постоянным характером.

Недостаток питательных веществ в организме может спровоцировать изменение цвета кожи.
Плохое питание
Светлые пятнышки на теле человека нередко означают злоупотребление вредной пищей. Недостаточное потребление витаминов, прием ненатуральных продуктов, сухой и несбалансированный рацион — вызывают пигментацию белых оттенков. Такие кожные образования не значат опасное заболевание, но они свидетельствуют человеку, что следует пересмотреть образ жизни, в частности, питание. Если это не сделать, то эпидермис может полностью обесцветиться. Для оптимальности лечения следует посетить доктора, который припишет биологические добавки, помогающие в восстановлении здоровой кожи.
Особенности у ребенка
Гипоменалоз
Белые пигментные пятна на теле у ребенка могут быть вызваны гипоменалозом, который проявляется нарушением наружного слоя эпидермиса. Такая патология в основном проявляется в течение первых лет жизни малыша, после перенесения тяжелой инфекционной болезни. Полный механизм развития патологии до сих пор не определен, однако, выявлено что гипоменалоз сопровождается задержкой развития и поражением центральной нервной системы у ребенка. Лечение этого заболевания выглядит в косметических методах и сильнодействующих медикаментах, которые замедляют депигментацию.
Туморозный склероз

Появление белых пятен на теле у детей иногда свидетельствует о заболевании туморозным склерозом.
Туморозный склероз — серьезное заболевание, при котором на теле у ребенка появляется точка белого цвета в диаметре до 3-х см. Лицо и конечности — основные месторасположения пятен. Туморозный склероз — опасная патология, для которой характерна умственная отсталость, поражение внутренних органов и эпилептические приступы.
Помимо этого, в детском возрасте, как и во взрослом, причиной возникновения белых пятен могут быть лишай, витилиго и другие кожные заболевания, которые связаны с патологическими процессами в разных системах организма. Если у ребенка появились белые пятна на коже, следует посетить доктора для выяснения причин такого состояния. Врач, после постановки диагноза, припишет оптимальные терапевтические меры для конкретного случая.
Диагностика
Диагностика белых пятен осуществляется доктором, который после сбора анамнеза и тщательного осмотра кожного покрова определит причину такого явления. Нередко врач назначает дополнительные исследования для постановки точного диагноза. Стоит помнить, что правильное определение появления белых пятен на теле человека важно для предписания оптимального лечения. Поэтому не стоит игнорировать или относится халатно к диагностическим процедурам.
Как убрать: лечение патологии
Гладкое или белое шелушащееся пятно на коже следует лечить под контролем доктора, который подбирает оптимальные терапевтические меры для конкретного случая. К ним относят:

Причина белых пятен на теле может быть любая, поэтому и терапию подбирать лучше под контролем врача.
- лекарства, которые позволяют регенерировать состав и структуру кожного покрова;
- придерживание принципов правильного питания, которые определяют качество и быстроту терапии;
- ПУВА-терапию;
- физиотерапевтические методы, которые помогают восстанавливать пигментацию кожи и лечат наружный слой;
- пересадку кожи, к такой мере прибегают, когда произошло отмирание кожи и нет возможности в ее самостоятельном восстановлении;
- косметические средства (мазь, шампунь, крем и прочие), которые убирают шелушение кожи и питают ее витаминами;
- методы народной медицины в виде рецептов и компрессов, которые в комплексе с медицинскими препаратами помогают убрать патологию и насыщают пораженную часть кожи питательными веществами.
При обнаружении белых пятен (независимо маленькие они по размеру или большие) надо как можно скорее посетить доктора, для выявления причин такого нарушения. Своевременное лечение устраняет болезнь и исключает осложнения, которые могут быть вызваны депигментацией кожи. Не следует халатно относиться к такой проблеме и заниматься самолечением. Такое отношение только усугубит ситуацию.